Endoprothesen
(künstliche Gelenke)
Wir führen in Zusammenarbeit mit den Krankenhäusern Waldkirchen und Zwiesel eine große Anzahl von verschiedenen Gelenkersatzoperationen durch.
Schulterprothese (künstliches Schultergelenk)
Die Schulterprothese wird bei deutlicher Arthrose verwendet um eine Schmerzverminderung und eine mögliche Bewegungsverbesserung zu erreichen.
Je nach Defekt der Schulter oder der Muskelmanschette (Rotatorenmanschette) kann eine Spezialprothese (Inverse-Schulterprothese, Inverse-Schulterprothese) nötig sein.
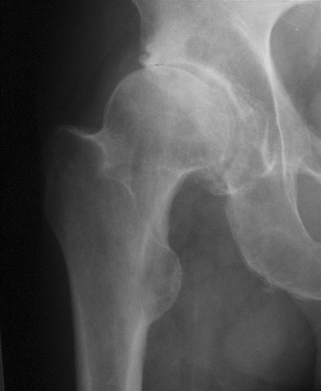
Hüftprothese (künstliches Hüftgelenk)
In den letzten Jahren haben sich an der Hüfte minimalinvasive Eingriffe an der Hüfte bei beginnenden Arthrosen bewährt. Dabei werden über einen kleinen Zugang von ventral die Randanbauten am Schenkelhals und Pfanne abgetragen.
Bei der Hüftendoprothetik haben wir uns für bewährte Prothesen mit sehr guten langjährigen Ergebnissen entschieden. Diese werden weichteilschonend implantiert und die Patienten frühmobilisiert. Wichtig ist bei dem operativen Eingriff auch die geringe Komplikationsrate und die gute Plazierbarkeit der Prothese. Die Gleitpaarung besteht aus einem gehärteten Polyäthylen mit kaum noch Abriebpartikeln. Dabei verwenden wir möglichst große Hüftköpfe um ein natürliches Bewegungsgefühl zu erzeugen.
Kniegelenksprothese
(künstliches Kniegelenk, Doppelschlitten, Monoschlitten)
In den letzten Jahrzehnten hat auch die Kniegelenksendoprothetik deutliche Fortschritte gemacht. Die Ergebnisse sind durchaus mit denen der Hüftendoprothetik vergleichbar.
Sollte eine deutliche Arthrose des Kniegelenkes vorhanden sein und oben genannte Therapieformen nicht mehr möglich, oder keine Besserung erbracht haben, sollte eine Knieprothese diskutiert werden.
In manchen Fällen kann man bei einseitiger Kniegelenksarthrose einen Teilknieprothesenersatz (Monoschlitten) verwenden.
Generell sind aber für die meisten Fälle ein Vollknieprothesenersatz (Doppelschlitten) nötig.
Quellnachweis:
Die Röntgenbilder wurden durch uns angefertigt und fotografiert.
